kaiyun下载app下载安装手机版 从4米高墙自由落体,我的左脚和小腿摔出一个怪异的角度
2021年2月14日晚9点,情人节那天,空气中弥漫着虐狗的味道,我刚被救护车送到医院,躺在急诊室里,看着医生朝我冲来。
“情人节快乐!”他对我说。“我没想到情人节那天我还要上夜班。”他眨眨眼。
我盯着自己向外翻的双脚,一时间不知道谁的处境更糟糕。
我的左脚和小腿以一个奇怪的角度摔倒。
当时我在新加坡读大四,课很少。于是我开始想着如何打发时间,而抱石就是我的新爱好。它和普通的攀岩有点不同。抱石通常在室内进行,墙壁高达 4 到 5 米,下面有软垫,没有保护绳。

抱石丨PxHere
作为新手,我攀爬的技术并不太好,但我很勇敢。最让我享受的瞬间是爬到墙顶之后的飞跃,没想到这个看似正常的动作会给我带来如此大的麻烦。
2 月 14 日晚,情侣们忙着吃烛光晚餐时,我去了攀岩馆,开始触摸那条线。在几次失败后,我终于触到了顶峰。筋疲力尽的我像往常一样松开手,开始自由落体。
“啪!”是左脚踩在护垫上的声音。我睁开眼睛,看到的却是天花板和刺眼的灯光。
我摔倒在地,爬不起来,疼痛从脚踝处传来,我勉强抬起上身看了一眼,发现左脚和小腿形成了一个很奇怪的角度。
“完了!”我心里想。
人们纷纷围在我身边,现场一名医学生帮我脱掉鞋子和袜子,并戳了戳我的脚趾头云开·全站APP登录入口,询问我有没有感觉到什么。
“这次我是真的完蛋了!”我又想。
我不知道有多少人穿过这双鞋在攀岩馆里。如果医学院的学生被我这双腌制过的袜子窒息了,我的脸往哪儿搁?
麻醉苏醒后,我打了三个电话
很快,我就被救护车送往了最近的医院。
没想到,唯一一个祝我情人节快乐的人,竟然是急诊室的医生,我刚想发朋友圈,就看到医生手里拿着一张X光片,一脸严肃。
“你很长时间都不能爬山了,”他说。“我们需要先对你的脚进行重新定位手术,让它看起来更正常。”
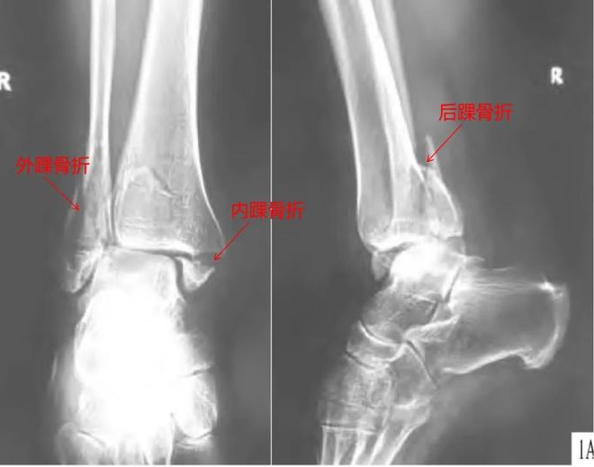
直到出院看了诊断书,我才清楚的知道自己的伤情。我的左脚内踝、外踝和后踝均骨折,也就是所谓的三踝骨折,其中一踝是粉碎性的。另外,我的踝关节也脱臼了。医生做的复位手术,就是为了让脱臼的关节恢复到原来的位置。
还没等我反应过来,就被插上了鼻氧管,贴上了心电图贴,医生一边注射药,一边说:一会儿你可能会头晕。
下一秒,我进入了一个魔幻的世界,各种奇异的图案在眼前不断变换,就像是在看万花筒,感觉自己飘浮在空中,等我清醒过来后,才发现我的腿被打上了石膏。
我赶紧向护士要了我的手机,拨打了受伤后的第一个电话,给我打工的店老板打电话,告诉他我第二天不能上班了,请他取消我的班次。
第二个电话是打给保险公司的,了解了赔偿原则后,心里轻松多了,毕竟在国外坐救护车丢了身家的恐怖故事我听过太多了。
我联系的第三个人是我的作业小组成员,我告诉他们我因受伤可能无法及时完成作业。
受伤后最先接触的人是老板、保险公司、队员,这大概就是现代留学生和打工者的命运。
水肿加大小不等的水泡
手术被推迟了三次。
凌晨1点,我终于被送进病房,等待白天的第二场手术。早上起来,我的脚肿得厉害,医生告诉我要等肿消了才能做手术。
手术延期了,但我一点也不着急,每天开心地向朋友抱怨医院的饭菜太差,惊叹护士们的温柔,和同病房的奶奶聊天。
终于到了手术的那一天,医生剪开纱布,重重地叹了一口气:“张力性水疱,手术取消。”
我当时就傻眼了,脚踝肿了起来,上面起了大大小小的红色水泡。

脚踝处密集的张力性水泡 | 图片由作者提供
医生一边用针头抽出水泡里的渗出液,一边给我讲解水泡形成的原因——骨折导致软组织挫伤、水肿,渗出液受压不均形成了水泡。而我的水泡恰好长在需要手术的地方,如果贸然手术,感染的风险非常大。
仿佛一桶冷水浇在了我的头上,几个小时前我还在开心的期待着手术,现在却只能默默的收拾东西准备回家,等水泡消了再择日手术。
想想新冠肺炎疫情爆发以来发生的种种不愉快的事情,再加上向家人隐瞒病情的压力,一向乐观的我,受伤以来第一次流下了眼泪。
等待手术的时候,医生让我把患肢抬高固定,并强调要多活动大腿肌肉。于是我跟着理疗师学了一些简单的动作kaiyun官方网app下载app,比如坐在床上交替抬腿、利用大腿肌肉活动整条腿等等。
一周后,我回到医院复查,但伤口仍然没有痊愈,所以手术再次被推迟。
穿上战斗靴,我感觉自己就像现代钢铁侠
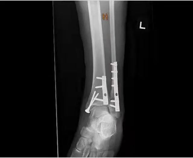
受伤三周后,我终于做了手术,醒来的时候,我已经在术后观察室了,医生在我脚踝的内外侧各放了一块钢板和几枚钢钉,还给我办了植入证明。

术后X光检查可见钢板和钉。
和很多骨折患者一样,我也穿上了特制的防护靴,穿上钢板,穿上“战斗靴”,我感觉自己就像一个现代版的钢铁侠。
手术后的日子很短却也很漫长,康复科的医生教我如何使用拐杖,并告诉我要尽量活动关节。
虽然躺在病床上,但我心里却盼望着康复的那一天,终于在4天后出院,高高兴兴回家,身上带着不少消水肿药、止痛药和维生素D。

手术后,我穿着特制的保护靴,拄着拐杖,非常高兴地回家了。
没想到最困难的还是术后康复。
我恢复得很快,只用了一个半月的时间,就从卧床不起到可以不用拐杖自己走路,半年后,我又开始跑步了。
但我很快意识到有些事情已经永远改变了。
首先,扩大的疤痕遮住了原本整齐美观的缝线,踝关节也因为钢板而变得更厚,但这些都是次要的。


拆线后伤口与一年后伤口对比 | 图片由作者提供
更重要的是,关节的灵活性似乎比以前下降了不少。
踝关节的角度在受伤后很难完全恢复,只能尽力去改善,但无论我每天怎么练习,进步的空间都很小。
除此之外,我的生活似乎与正常人没什么不同。但只有我自己知道,我每走一步,都会感到一点疼痛;每走一步,都会跌倒一点;我再也不能像以前那样蹲下了。我和朋友开玩笑说,我再也不能称自己为亚洲人了,因为我做不到“亚洲蹲”。玩笑的背后,却隐隐透着一丝悲伤。
骨折后的康复训练对预后至关重要。果壳网的患者们也分享了自己骨折手术后没有及时进行康复训练,严重影响日常生活的故事。
2、回复“果壳儿患者”【康复】,查看另一篇关于骨折手术的故事。
转眼一年过去了,虽然我的关节还不够灵活,虽然我还没决定以后要不要拆掉钢板,虽然我偶尔会因为一些琐事而情绪低落,但我依然保持乐观,依然坚持康复,决心尽可能康复。
更何况我相信一切都是最好的安排。因为受伤之后的一系列机缘巧合,我认识了现在的男朋友。他会督促我康复,在我失落的时候陪伴我。如果因为脚踝骨折而能遇到他,那这也是一份特别的情人节礼物。
医生的评论
顾晓东 | 山西白求恩医院骨科主任医师
踝关节是人体承受重量最大的关节,它的正常功能对于我们日常的行走、跳跃等动作至关重要。踝关节骨折在临床上比较常见,通常由高处坠落、扭伤等间接暴力造成,往往需要手术治疗。治疗不当会导致踝关节不稳定,最终引发创伤性关节炎,严重影响踝关节的功能。
笔者的三踝骨折是踝关节骨折中比较严重的一种类型,三踝骨折除了内外踝骨折外,还合并胫骨远端后踝骨折,是一种严重而复杂的关节内骨折,通常伴有踝关节脱位。对于像笔者这样不能进行急诊手术的三踝骨折合并踝关节脱位患者,通常需要先将脱位复位,石膏固定,待肿胀消退后再进行手术,这样可以有效保留踝关节功能。

三踝骨折X光图丨参考1
踝部骨折手术的最佳时机是什么时候?一般来说,手术的最佳时间是受伤后6小时内,即踝部明显肿胀、水泡出现之前。此时紧急手术切开、复位、固定骨折,可减少血肿,利于切口一期缝合,从而减少患者痛苦,缩短住院时间。
但大多数情况下患者就诊时踝关节肿胀已经很明显,部分患者可能还会出现如笔者一样的张力性水疱,此时必须推迟手术。骨折后组织损伤,局部渗出物增多,因组织压力不均而出现张力性水疱。
等待手术期间需对患者进行石膏固定开yun官网入口登录APP下载,严格制动及抬高,活动、按摩骨折远端肢体,局部冷敷等,待手术部位张力性水泡消失、皮肤皱纹出现后即可进行手术。
骨折手术后需要拆除钢板和螺钉吗?一般对于年轻患者,我们建议拆除,以避免发生延迟感染等并发症。
踝关节骨折手术后,很难完全恢复功能,也就是作者说的关节没有以前那么灵活了。虽然关节功能会随着时间的推移而改善,但仍然会出现不同程度的关节功能障碍。对于踝关节骨折患者来说,术后康复治疗也是非常重要的一环,而康复治疗需要在康复医生的指导下进行,才能最大程度地发挥关节功能。
参考:
[1] 胡长青, 鞠继辉, 刘跃飞, 周荣, 徐浩, 陈录成. 经后外侧联合内侧入路急诊内固定治疗三踝骨折[J]. 临床骨科杂志, 2021, 24(01): 131-134.
个人经历分享不构成医疗建议,不能代替医生对具体患者的个体化判断,如需就医,请到正规医院就诊。
鲁ICP备18019460号-4
我要评论