pg网赌软件下载 “截骨保膝治疗后,我的罗圈腿变直了!”

十月十二日是关节炎日 这种病是造成残疾的首要原因 情况严重时会导致关节部位丧失功能 从而损害患者日常生活 但若长期被膝关节炎困扰 除了实施关节手术之外 是否存在其他有效途径呢 或许这个由我院关节科室的一位病患的经历可以为你提供启示 我们一同去了解吧
感谢三院关节中心,如今我的腿不再疼痛,并且形态变得笔直!澳门的李阿姨(化名)情不自禁地表达了自己的喜悦。
据了解,李阿姨在关节诊疗所求诊前,深受膝盖不适困扰十余年,各处医疗机构均建议通过实施人工关节手术来根除病痛。尽管李阿姨整体健康状况良好,但膝关节的持续疼痛导致其日常活动受到极大影响,生活质量显著降低,加之对手术可能引发的不良后果心存顾虑,因此一直犹豫未行手术。听说广中医三院关节中心有过用微创手术方法治疗膝骨关节炎的案例后,她觉得可能存在不通过更换关节就能解决病情的途径,通过别人引荐,她最终来到了我院关节中心的保膝治疗组,见到了主治医生李朋。
李朋在诊室仔细检查了李阿姨的身体状况,发现她左边的膝盖向内弯曲得相当厉害,检查影像资料表明她的膝关节骨关节炎问题非常突出,虽然外边的关节空间和髌骨部位没有大碍,但里面的关节空间磨损得非常严重,向内倾斜的角度有28度,简单讲就是李阿姨的左腿形成了膝内翻的毛病。

患者术前外形

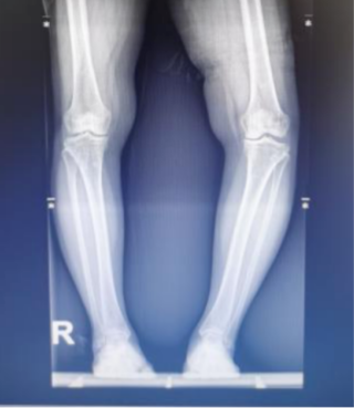
下肢全长X线,左侧严重内翻畸形
接着,关节中心保膝科室副主任医师陈雷雷、余存泰对李阿姨的健康状况做了详细检查,双方都认同李阿姨左腿的形态异常主要是由关节外部因素引起,并非关节部位出现磨损和老化问题。李阿姨的股骨部位和胫骨部位都存在形态上的不正常。
权威人士表示,当大腿骨与小腿骨同时出现异常时,假如仅仅采用单边小腿骨截骨或单边大腿骨截骨的方法来纠正这类异常,很可能矫正效果不理想,会留下向内弯曲的状况,还可能造成术后关节位置出现非正常的倾斜,导致关节软骨承受的摩擦力增大。长时间的摩擦力会使得软骨超出其所能承受的压力范围,造成软骨层面的破坏,促进骨关节炎的形成和发展。关节面角度异常还或许会造成膝关节连接组织的松垮,导致承重状态下容易感到不稳固。
因此,针对患者具体情况pg麻将胡了试玩平台,保膝小组为其设计了一套专门定制的保膝治疗计划:左膝关节将实施股骨远端骨移术(DFO)与胫骨近端上端骨移术(HTO),通过这两个手术矫正左膝严重的向内弯曲状态,从而更有效地调整关节受力方向和膝关节的标准结构角度,最终实现保留膝关节的目标。
关节中心保膝团队的陈雷雷、余存泰、李朋医生在手术前,依据病人的影像学检查数据,仔细测算出需要矫正的角度,从而规划出最佳的截骨计划,接着他们准确又快速地实施了左膝关节股骨远端的截骨手术,以及胫骨近端高位的截骨手术。手术之后,根据病人的身体状况和中医的辨证分析,他们制定了中药内服、外敷,同时结合中医的推拿手法和功能训练的综合性康复计划。
许多医生建议我进行膝关节置换手术,但我一直难以接受,未曾料到广州中医药大学第三附属医院关节中心推行的微创保膝手术,不仅能消除我的膝盖疼痛,还能保全我自身的关节,术后还有周到的中医药康复服务,我感觉自己恢复得非常迅速,对三院保膝团队表示赞赏。术后李阿姨对我院关节中心的保膝小组竖起了赞许的手指。


李阿姨术后膝关节外形,左下肢变直了

左下肢全长X线力线恢复
保膝专家来科普,保膝治疗发展趋势:
膝关节病症属于多发的缓慢性骨骼关节类疾病,对中老年群体的肢体活动能力及日常生存状态带来很大困扰,一旦膝关节的骨关节炎进入后期阶段,当关节面的软骨组织完全被侵蚀,关节空隙变得极为狭窄的情况下,才会把实施膝关节替换手术作为治疗方案。
在关节炎的中早期阶段,患者年龄相对较轻(
相对于全膝关节置换术,膝关节周围保膝截骨术有以下6点优势:
原装膝关节得以完整维持,手术全程未在膝关节结构内实施,关节的软骨与韧带均未受损,关节固有的活动方式也得以完整维持。
能够最大程度精确且高效地纠正下肢姿态的不正,修正“外八字”或“O”形腿。
3.可恢复患者对运动功能的渴望与需求;
HTO手术没有切除任何膝关节外侧骨性组织,这样做是为了尽可能保全患者原本的下肢结构。
5.术后功能锻炼痛苦小,康复周期短;
6.手术切口、出血量及创伤均明显小于全膝关节置换。
关节中心保膝团队优势
广州中医药大学第三附属医院,也就是广东省中医骨伤研究院,是广州市率先进行保膝手术的医疗机构之一,近年来,随着本院影像技术和数字骨科的进步,关节诊疗中心可以在手术前制定截骨方案,并模拟截骨矫正过程,这有助于攻克骨科手术中的一些技术瓶颈。
我院数字骨科工作室不断进步,关节中心将围绕骨科精准术前规划、定制化手术等方向进行深入探索,特别是在保膝截骨手术领域,通过预先规划截骨位置和矫正幅度,专门设计截骨模具,让保膝手术更加精确、创伤更小。
科室介绍
骨一科(关节中心关节科)
广州中医药大学第三附属医院关节中心属于国家级重点学科“中医骨伤科学”,为国家中医药管理局与广东省中医重点专科,同时也是广州中医药大学髋关节研究中心、广东省中医骨伤研究院的临床依托单位,涵盖关节科与运动医学科两大专业,是国内进行关节手术数量最多、治疗方式最全面的科室之一,其服务领域包括
成年人及小孩的骨骼坏死、关节先天异常和后天变形、骨质退化性关节炎、风湿性关节炎以及强直性脊柱炎会影响到身体各处的关节;骨头关节发生感染、骨骼和软组织上的肿瘤、中年人股骨颈部位出现骨折、身体主要关节(包括肩部、肘部、腕部、髋部、膝盖、脚踝)的软骨、韧带、半月板、关节边缘软骨、肩部肌腱等运动系统损伤的情况也时有发生。
特色医疗优势
以股骨头坏死为主的髋关节疾病保髋诊治。该机构具备三十多年的丰富实践积累,诊治案例达数万个,已构建起一套完整且富于革新的医疗模式,该模式融合了事前干预、初期识别、精准判断,以及以传统中医疗法为核心的综合保守疗法,并辅以旨在维持患者原有髋关节功能的保髋手术方案,这种全方位的防治策略极大提升了治疗效果pg电子娱乐平台,在国内保髋治疗领域持续发挥主导作用,其卓越成就赢得了海内外的高度认可,让众多年轻患者能够避免或推迟接受人工关节替代手术。
膝关节骨性关节炎按阶段进行医治。依据膝关节骨性关节炎各异的位置、不同的损伤程度,关节核心按步骤实施以中医药为主导的单纯用药疗法、多种保守疗法、关节镜施行微创手术、调整关节承重路径的截骨手术、部分关节替换手术直至全膝关节表层替换手术,为膝关节骨性关节炎带来了更周全、更精确的医治方法,增强了临床效果。
该机构率先在国内实施人工关节替换手术。近些年,关节诊疗部门完成关节置换手术的次数在省内名列前茅。科室近些年主动引入快速恢复外科模式,着力打造无痛治疗环境,并将传统中医的全面调理思想融入其中,运用综合治疗手段,促使病患术后局部与全身机能迅速恢复,同时减少感染、深静脉栓塞等不良后果的出现。
微创关节手术。该中心从事微创关节手术已有十多年历史pg赏金大对决试玩版,普遍应用于肩、髋、膝、踝等部位的运动损伤和疾病诊疗,每年手术数量持续上升。中心已普遍开展多种复杂手术,包括膝关节多根韧带损伤同期修复重建,肩关节大面积肩袖撕裂组织瓣移植缝合,肩关节反复脱位采用Latjet技术处理,以及髋关节盂唇撕裂修补与骨赘刮除等高难度手术。微创关节镜手术能够显著降低手术带来的损伤,切口位置更便于隐藏,有助于患者更快恢复健康,治疗效果也更为理想。
专家介绍

陈雷雷 副主任中医师、博士
关节中心关节外科副主管,拥有博士学位,担任博士研究生导师,曾获广东省自然科学杰出青年基金资助,“广东特支计划”科技青年领军人才,广东省杰出青年医学人才称号,同时也是国家自然科学基金评审专家。
拜何伟教授为师,何教授是我国享有盛誉的股骨头坏死权威人士,精于治疗股骨头坏死,包括儿童股骨头坏死,同时擅长髋关节发育异常、先天性髋关节错位等髋部问题的保留关节治疗;对于膝关节炎,无论是关节内部还是外部的畸形,都能实施保留膝关节的治疗;在类风湿关节炎、强直性脊柱炎、色素沉着绒毛结节性滑膜炎、血友病性关节炎这几种关节炎病症上,采用中西医结合的方法进行诊疗;此外,还擅长首次进行的复杂人工髋关节与膝关节置换手术,施行微创单髁关节置换,以及人工关节的再次修复手术。

余存泰 副主任医师、医学博士
自2022年2月开始,担任广州中医药大学第三附属医院(广东省中医骨伤研究院)关节中心的特聘医师。
从事髋关节与膝关节外科临床实践二十五年,专攻人工髋关节及膝关节置换手术,致力于膝关节退行性病变、类风湿性疾病、创伤后遗症和感染后病症的综合管理,涵盖保守治疗与手术干预,已持续二十七年。

李朋 主治医师
精于处理各类髋关节与膝关节病症,对于初次实施人工髋膝关节替换手术、膝关节病变的逐步医治、保留膝关节功能治疗(包括单髁置换术、高屈髋点截骨术及保守疗法)、人工关节安装后的迅速功能恢复、手术后的疼痛管理及感染控制、髋膝关节置换手术的再次修复等,均有丰富的诊疗经验。
鲁ICP备18019460号-4
我要评论